口元に自信を取り戻す審美歯科
審美歯科は、単に「歯の見た目」を美しく整えるだけでなく、噛むことや話すことといった機能面、そしてお口の健康も大切に考えた治療です。
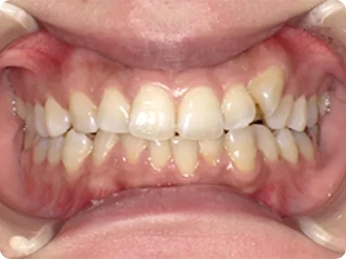
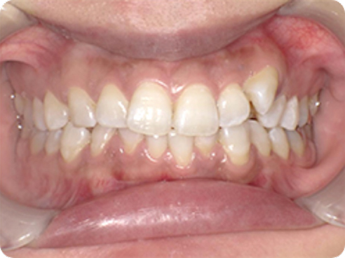
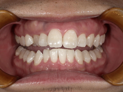
歯並びの乱れや歯の黄ばみ、歯ぐきの黒ずみ、目立つ銀歯など、口元のコンプレックスを解消し、自然で健康的な美しさを追求します。自信を持って思いきり笑える毎日をサポートし、あなたの魅力を引き出すお手伝いをいたします。

審美治療を受けるメリット
清潔感があり、第一印象が良くなる
写真や会話がもっと自然に楽しめるようになる
口元への意識が高まり、予防意識も高まる
歯並びや色が整うことで、歯磨きがしやすくなる
(虫歯・歯周病の予防につながる)
| オフィス ホワイトニング 【自由診療】 | 歯科医院で直接行うのでその場で効果を実感していただけます。所要時間:約90 分 | 2,200円(税込)/ 歯1本 ※5本より施術可能 |
|---|---|---|
| ホーム ホワイトニング 【自由診療】 | 自宅で行えるので、お忙しく歯科医院に通院が難しい方には最適です。 | 38,500円(税込)/ 上下顎 27,500円(税込)/ 片顎 |
| デュアル ホワイトニング 【自由診療】 | オフィスとホーム、お互いの長所を兼ね備えた理想的なホワイトニング。 短時間で希望の白さを手に入れ、効果の持続も期待できます。 | 38,500円(税込)/ 上下顎 27,500円(税込)/ 片顎 |
ガムピーリングの流れ
FLOW
- STEP.1
- カウンセリング
- 歯ぐきの状態をしっかりチェックします。歯周病での炎症がある場合、 差し歯・被せ物の不適は治療や交換が必要となります。
- STEP.2
- ピーリング剤(漂白剤)を塗布
- 歯ぐきの黒ずんでいる部分にお薬を塗り、数分おきます。
- STEP.3
- 施術後
- 施術から3~5 日間くらいは歯ぐきに白い膜がはります。少しずつはがれていき、1週間ほどで健康的な歯ぐきの色調になってきます。
審美歯科についてよくある質問( Q & A )
QUESTION
保険は使えますか?
支払い方法はどのようなものがありますか?
相談だけでも可能ですか?
診療時間・アクセス
HOURS & ACCESS

▲診療時間 14:00〜18:00
休診日 火曜・日曜・祝日
最終受付 17:30まで(土曜は17:00)
〒760-0022 香川県高松市西内町1-6

電車でお越しの方
■ JR高松駅から徒歩3分
■ ことでん築港駅から徒歩5分

お車でお越しの方
■ 提携コインパーキングをご利用ください。
■ 受付でチケットをお渡しいたしますので、パーキング名をお伝えください。





